24 September 2014

KARANG GIGI DAN CARA MENGATASINYA


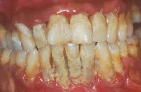
Masalah kesehatan gigi tak lepas dari munculnya plak atau karang gigi. Plak merupakan lapisan lapisan lengket dan lunak yang terdiri dari protein dan 70 persen bakteri yang berasal dari air liur. Plak akan mengeras menjadi karang gigi.
Karang gigi memiliki permukaan yang kasar sehingga memudahkan bakteri melekat di permukaan. Bakteri dapat berkumpul pada permukaan dan menyebabkan berbagai masalah seperti karies gigi, radang gusi, dan bau mulut.
Karang gigi juga bisa menyebabkan gigi menjadi kuning atau coklat sebab karang gigi memilki pori-pori yang mempermudah terjadinya perubahan warna. Karang gigi yang menempel pada gigi akan mengubah warna gigi menjadi hitam atau coklat bila Anda mengonsumsi kopi, teh, atau merokok.
Agar terhindar dari masalah gigi sebaiknya bersihkan plak dengan rutin. Caranya, sikatlah gigi minimal 2 kali sehari pada waktu pagi dan malam hari. Anda juga bisa melakukan pembersihan interdental dengan tusuk gigi, benang gigi, atau sikat antar gigi.
Warna plak gigi yang hampir sama dengan warna gigi akan membuat Anda kesulitan dalam membersihkannya. Karena itu, dibutuhkan pewarna khusus untuk mengetahui keberadaan plak yang menempel. Anda bisa menggunakan tablet pewarna khusus, biarkan meleleh di lidah. Setelah tablet meleleh gerakkan lidah ke permukaan gigi hingga merata. Lalu kumur hingga air tak lagi bewarna. Bila ada daerah gigi yang mengalami perubahan warna berarti daerah tersebut terdapat plak yang menempel. Berikan perhatian lebih pada daerah-daerah tersebut ketika menyikat gigi.
Sementara untuk menghilangkan karang gigi sebaiknya lakukan kepada ahlinya dalam hal ini dokter gigi. Biasanya dokter akan menggunakan kombinasi air tekanan tinggi dan alat pembersih untuk menghilangkan karang gigi. Dokter akan menggunakan scaler untuk menghilangkan karang gigi. Pasien akan dirujuk ke dokter gigi spesialis periodontis bila karang gigi disertai penyakit gusi yang parah.
Pembersihan karang gigi dengan alat scaler sebernarnya cukup mahal. Namun, hal ini tidak sebanding dengan dampak buruk yang disebabkan oleh munculnya karang gigi. Agar karang gigi tidak muncul kembali sebaiknya gosok gigi secara teratur sehabis makan pagi dan menjelang tidur malam. Lakukan pengontrolan secar rutin ke dokter gigi tiap enam bulan sekali untuk membersihkan karang gigi.


Sumber: http://doktersehat.com/mengatasi-plak-dan-karang-gigi/

Tidak ada komentar: